RUBEN DARIO VILLAFRAZ
@rubenvillafraz
No es menos cierto que una lesión de la magnitud de la sufrida este pasado sabado por el diestro taribense Jesús Enrique “Colombo”, justo en estas fechas de tanto toro por ruedos ibéricos y galos, es una malísima noticia. Mala por muchas razones: por el ritmo trepidante de éxitos que llevaba el torero, por la cantidad de festejos que había en agenda, por el parón que implica para un torero de las ambiciones y condiciones de “Colombo” y en especial, por lo complicado que se lo pone para algunas empresas sustituirle, cuando en muchas ocasiones el atractivo del cartel era su presencia.
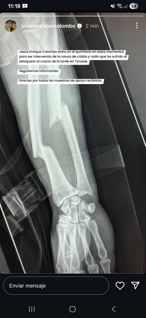
Asi se puede ver lo que ha significado el desafortunado percance de este sabado en la localidad gala de Saint Vincent de Tyrosse. Ya queda, tras operársele ese mismo día en la noche en Dax, una recuperación contra reloj, para de esta manera estar volviendo a los ruedos cuando los tiempos de rehabilitación asi lo indiquen. No es fácil la empresa, pero no imposible para el joven y atlético coleta taribense, quien asume su percance más cuesta arriba, pues siempre las lesiones óseas son las más complicadas y tardías de recuperarse que las mismas cornadas, donde el tejido muscular es más rápida su evolución que las fracturas. Y en Jesús Enrique está la recuperación de dos huesos como son el cubito y radio del antebrazo izquierdo.
La lista de festejos a estar pendiente en la agenda de “Colombo” no es menos corta: 01/08 Azpeitia, España. 02/08 Ristre, Francia. 04/08 Coasa, Perú. 09/08 Festival en España. 17/08 Uskil, Perú. 19/08 Bilbao, España. 25/08 Festival en España son las fechas que para agosto se encuentran escrituradas. Otra cosa lo dirá la recuperación. Para septiembre la cosa es más numerosa: 01/09 Cuellar, España. 05/09 Tovar, Venezuela. 14, 15 y 16/09 en Tacabamba, Perú. 24/09 Chuquizongo, Perú. 25/09 Coasa, Perú. 27 y 28/09 Ecuador y 30/09 en Santa Cruz, Perú.
Son estas las fechas de un torero que mantenía la ilusión tarde a tarde al aficionado venezolano, quien ha visto como tras varios años, hay presencia de lujo tricolor en ruedos del orbe taurino. Solo queda la paciencia y fortaleza psicológica y física para lo que será una recuperación ansiada y esperada por muchos. El tiempo solo tendrá la última palabra.
A la vera de su evolución posibles sustitutos
No es menos señalar que en estos momentos al pie de la letra se cumple aquella frase que reza: «unos la firman y otros la torean». Es asi como en lista de posibles sustitutos se ventilen, de cara a compromisos próximos toreros como el valenciano Manolo Muñoz (de activa presencia en ruedos de la provincia peruana) como asi mismo el tachirense Fabio Castañeda (con igualmente presencia en arenas incas).
Otras posibles alternativas que bien valdrían la pena, en un caso que Jesús Enrique “Colombo” no llegue a una mínima recuperación para actuar cuando considere conveniente en las próximas semanas son el tachirense afincado en suelo andaluz, José David Cadavid y Fabio Castañeda, este último radicado en Perú, el cual poco o nada se le han visto por ruedos nacionales, tras haber alcanzado sus respectivos doctorados hace unas cuantas temporadas, todo esto, en un supuesto caso, aun cuando como sabemos, los toreros son de una pasta distinta a los demás mortales, pues es impresionante su poder de recuperación en momentos de máxima exigencia. No es la excepción Jesús Enrique “Colombo”.
Novilleros venezolanos despuntan por ruedos ibéricos
Volvemos la mirada a nuestros pocos novilleros que se están formando fuera de nuestras fronteras, como es el caso de los tachirense Rafael de La Cueva y Rando Miguel, así como el peruano con hondas raíces venezolanas, como lo es Pedro Luis Pérez, este último con par de actuaciones de relevancia en el ruedo de Las Ventas las últimas semanas.
En el caso de Rafael de La Cueva este 2025 ha sido de gran provecho, pues el mencionado alumno de la Escuela Taurina José Cubero «El Yiyo» de Madrid, quien inició camino en la Escuela Taurina «César Faraco» de San Cristóbal tiene en agenda actuar este próximo 2 de agosto en festival de lujo, en la ciudad de Segovia, en mano a mano al lado del novillero local Luis Rivero, despachando reses del hierro de Dehesa de Guadarrama.
Como se recordará en enero pasado tuvimos ocasión de verle por las cámaras de Canal Sur Televisión a este joven espada, en la localidad sevillana de Puebla del Rio, dejando un gran ambiente que le ha valido estar en numerosos festejos a lo largo de este año (Navalagamella, Los Molinos y Las Navas del Marqués), con los del castoreño, precedido de un 2024 donde incluso actuaria en Las Ventas con destacable paso.
Por su parte sin caballos el joven novillero Rando Miguel se le anuncia actuar este próximo 24 de agosto en la localidad de Robledo de Chavela, en el marco de las festividades en honor al Santísimo Cristo de la Agonía, donde estará despachando reses del hierro de Santafé Martín, al lado de los también novilleros sin caballos, Marco Polope y Samuel Castrejón.
De resaltar, lo que ha venido haciendo un torero que sin ser nacido en suelo venezolano lleva en sus genes sangre torera andina, como lo es el novillero Pedro Luis Pérez, nacido en Perú, hijo del matador de toros tachirense Pedro Pérez «Manili», sobrino de otro matador ya fallecido, José Pérez «El Gavilán», toreros que en las décadas de los ’70 y ’80 además de gran parte de los ’90 abrieron camino a la numerosa y actual presencia de espadas venezolanas en plazas peruanas. Alumno de la Escuela Taurina de Toledo está siendo apoderado por el matador burgalés «Morenito de Aranda», con el hecho de haberse presentado en el importante ruedo de la capital peruana en el 2023 para repetir el año pasado, donde dejaría condiciones para funcionar en esto.
Es así como este pasado jueves, Pedro Luis Pérez, marcaría nota destacada en la final del certamen de novilladas nocturnas en la primera plaza de toros del mundo, como lo es Las Ventas, el cual sin cortar orejas le ha permitido que de nuevo le anuncien de nuevo en este mismo ruedo a finales de septiembre próximo abriendo la Feria de Otoño en la capital madrileña.
«Diano», el semental que cambió el toreo y redefinió la bravura
Hay toros que nacen para ser leyenda sin haber pisado jamás el albero de una plaza. «Diano», el gran semental de la ganadería del hierro colmenareño de Vicente Martínez, es uno de esos nombres que se pronuncian con respeto casi reverencial en los corrales del campo bravo. Su historia no es sólo la de un toro, sino la de una sangre que transformó una ganadería y dejó una huella profunda en el campo madrileño, donde padreó durante toda su vida útil, tal y como nos relata en el portal cultoro.com, Marco Antonio Hierro.
Pero todo comenzó un día de mayo de 1904. Un toro berrendo en negro, herrado con el Nº 33 y llamado «Diano», llegó desde la prestigiosa ganadería de Ibarra -casta Vistahermosa-. Fue adquirido por Luis Gutiérrez para la ganadería de Vicente Martínez y destinado a semental. Desde entonces, cambió su genética para siempre. «Diano» era hijo de vacas de procedencia Vistahermosa, con esa armonía de formas que define al toro artista: ancho de sienes, pecho fuerte, costillar largo y una mirada fiera que se suavizaba sólo al citarlo. Su bravura, medida en las tientas de campo, mostró no solo acometida, sino la virtud más difícil: repetir con clase. Entiéndase por clase la que se entendía por tal en 1904, cuando las faenas de muleta no habían visto a nadie quedarse quieto para torear en redondo; el toro no había evolucionado hasta ese punto. Y «Diano» contribuyó a que llegara ese momento muchos años después.
Antes de «Diano», la vacada Martínez había comenzado a decaer; tras su llegada, se transformó en un linaje de bravura profunda, temple, nobleza y lujosa presentación. Su eficacia como reproductor generó más de 800 hijos directos y unos 2.000 descendientes. Sus hijos —y las primeras generaciones— comenzaron a lidiarse en Madrid entre 1909 y los años 20. Joselito ‘El Gallo’ repitió tardes enfrentándose exclusivamente a toros de línea Martínez, símbolo máximo de pureza y temple. No en vano, cuando aquel «Bailador», de la viuda de Ortega, se cruzó en su camino en Talavera, José ya tenía decidido hacerse ganadero de esta sangre. El mítico «Diano» fue alzado a la condición de ‘animal ilustre’ por su legado.
Sin embargo, para los ganaderos, «Diano» tenía una característica muy importante y escasa para los criadores de toros bravos: la fijación de su genética. Cruzado con hembras jijonas y berrendas, generó uniformidad en capa y genética. Ganó prestigio duradero por reproducir caracteres consistentes sin retrocesos genéticos. Los productos de su línea marcaron generaciones: «Gamito», «Mestizo», «Barrenero», «Ventero», «Extraño», «Milanés»… toros con fuerza, fijeza y temple. Su cruzamiento introductor impulsó el encaste Martínez, base del moderno toro bravo.
«Diano» se mantuvo activo como semental hasta 1917, muriendo con honor en 1920 en la finca ‘El Soto’, en Chozas de la Sierra (hoy Soto del Real). A su muerte dejó una reata que dio forma al toro moderno español.
Aunque la ganadería original se extinguió tras la Guerra Civil, su estirpe sobrevive en linajes como Montalvo -que conserva algunos animales por romanticismo-, Hermanos Quintas o incluso en vacadas actuales que intentan recuperar su impronta genética.
FOTO LEYENDA:
Atentos a la evolución que vaya mostrando Jesús Enrique “Colombo” tras su desafortunado percance el pasado sabado en Saint Vincent de Tyrosse. La radiografía muestra el alcance del desafortunado derrite del toro cuando entraba matar. Foto: Cortesía
Los artículos de opinión son responsabilidad exclusiva de sus autores. @UnidadParlamentariaEuropa

Descubre más desde REVISTA UNIDAD PARLAMENTARIA
Suscríbete y recibe las últimas entradas en tu correo electrónico.
